脳ドック基本コース

基本脳ドックでわかる病気
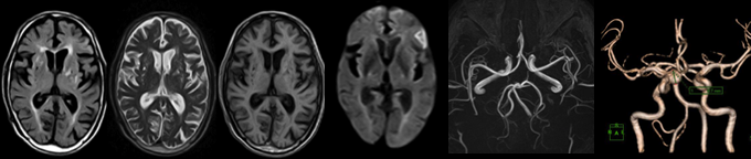
MRI
脳卒中,脳腫瘍,脳萎縮,白室病変,脳室拡大
MRA
脳動脈瘤,血管狭窄,血管閉塞,脳動静脈奇形,もやもや病
脳ドック+頚動脈検査+血液検査コース
脳ドック基本コースに加え、頚動脈MRA検査と血液検査を行います。
頭部MRAと同じように、頚部の血管を描出する検査です。頚動脈血栓の有無や、動脈硬化の程度などを検査することができます。脳梗塞手術の適応となる内頚動脈狭窄症(狭窄だけでは無症状です)の有無を確認できます。
脳ドックフルコース
日本脳ドック学会の推奨する検査内容となります。
頭部MRI検査(T1WI, T2WI, FLAIR, T2*)、頭部MRA検査、頚動脈MRA検査、血液検査、尿検査、心電図検査を行います。
認知症検査
画像診断の他に認知症の評価としてHDS-RとMMSEの問診も行います、所要時間は10分程度です。

脳ドック基本コースに加え記憶領域を司るといわれる海馬の検査を行います。早期アルツハイマー型認知症が確認できます。
早期の認知症 では最も早く海馬傍回(記憶に関わる部位) が萎縮することがわかっています。MRI 画像を利用し、この海馬傍回の体積の萎縮度を正常脳と比較します。また認知症のなかでも手術で良くなる可能性がある正常圧水頭症の有無も併せて確認できます。
血管年齢診断
CAVI(キャビィ)検査を行います。この検査では、あお向けに寝た状態で両腕・両足首の血圧と脈波を測定します。時間は5分程度で、血圧測定と同じ感覚でできる簡単な検査です。動脈の硬さ、動脈の詰り、血管年齢がわかります。
下腹部検査コース(女性)腫瘍マーカー検査
MRI検査では直径5mmほどの小さい子宮筋腫も捉えることができ、組織の違いもはっきり映し出されるので、子宮腺筋腫、卵巣嚢腫、肉腫との鑑別をする時にも有効です。
下腹部検査コース(男性)腫瘍マーカー検査
骨盤部拡散強調画像を用い検査を行っています。(拡散強調画像による前立腺がんの診断については、まだ確立していない部分もございます)この検査を行うことにより、生検では特に見逃しがちであった移行部のがんなどを、高感度で検出できるようになりました。MRI拡散強調画像の特徴は生検に比べ、浸襲性がきわめて低く、且つがん病巣を高感度に検出できる事です。
脊椎検査コース
頚椎・腰椎椎間板ヘルニア、脊柱管狭窄症、後縦靭帯骨化症、脊髄腫瘍の有無などを検査いたします、頚椎・腰椎の健康状態を診断するためのドックです。検査時間は約30分です。
・じっと座っていられない。
・仰向けの姿勢で寝ていられない。
・手足にしびれや知覚障害がある。
・歩行時に足の痛みがある。
などの症状には脊椎病変が隠れている可能性があります。
肺がんドックコース
被ばく線量を最大75%低減する最新CT機器を導入いたしました。
最新の被ばく低減機能 “AIDR 3D” 搭載しています。
※今までの被ばく低減機能に加え、低減再構成AIDR 3Dを搭載。被ばくを低減しながら高画質を描出します。
AIDR 3D は収集された投影データ上で、統計学的ノイズモデル、スキャナーモデルを用いてノイズを低減します。さらに、アナトミカルモデルを用い、画像再構成ドメインの中でノイズ成分のみを抽出して繰り返し除去します。AIDR 3Dの使用で最大50%のノイズ低減と、75%の被ばく低減効果を発揮します。
胸部CT撮影+胸部レントゲン撮影+診察を行います。

